Ο στρεσαρισμένος εγκέφαλος συνδέεται με το φαινόμενο της “ραγισμένης καρδιάς”
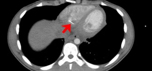
Θάνος Ξυδόπουλος Μελέτη διαπίστωσε ότι όσο μεγαλύτερη είναι η δραστηριότητα στα νευρικά κύτταρα στην περιοχή της αμυγδαλής του εγκεφάλου, τόσο πιο γρήγορα μπορεί να αναπτυχθεί η κατάσταση γνωστή ως σύνδρομο Takotsubo (TTS). Το Τακοτσούμπο, επίσης γνωστό ως σύνδρομο...

 
		 
		 
		 
		 
		 
		 
		 
		 
		 
		 
		 
		 
		 
		 
		 
		 
		 
		 
		 
		 
		 
		 
		 
		 
		 
		