

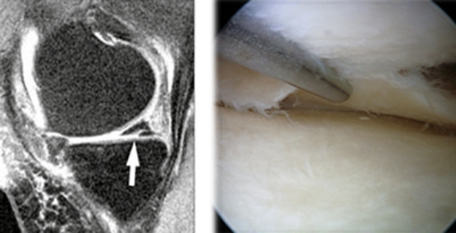
Η ρήξη του έσω ή του έξω μηνίσκου είναι από τις πιο συχνές παθήσεις του γόνατος, που τα τελευταία 15-20 χρόνια είναι και εύκολα θεραπεύσιμη λόγω της ανάπτυξης της αρθροσκόπησης. Όμως αυτή η διευκόλυνση έχει οδηγήσει σε υπέρμετρη εφαρμογή της μεθόδου σε περιπτώσεις που δεν ενδείκνυται, με αποτέλεσμα να αυξάνουν αντίστοιχα και οι περιπτώσεις αρθρίτιδας του γόνατος.

Γράφει ο Ιωάννης Η. Βλάχος, ορθοπαιδικός-χειρουργός


Τι είναι
Οι μηνίσκοι είναι δύο: ο έσω και ο έξω, που απορροφούν τους κραδασμούς λόγω κατασκευής από ινοχόνδρινο ιστό, προστατεύοντας έτσι το χόνδρο της άρθρωσης του γόνατος κατά τη βάδιση και την κίνηση. Κατά τη διάρκεια της βάδισης στο γόνατο εκτός από την κίνηση κάμψης-έκτασης, προκαλείται και μία στροφική κίνηση με κέντρο τον έξω μηνίσκο και μια ελαφρά πρόσθια ολίσθηση (που το όριό της ελέγχεται από τον πρόσθιο χιαστό σύνδεσμο).
Για το λόγο αυτό ο συχνότερα εκφυλιζόμενος μηνίσκος είναι ο έσω (μια κι αυτός καταπονείται περισσότερο) και αυτός εμφανίζει συνηθέστερα ρήξη κατά τη διάρκεια στροφικών κακώσεων σε αθλοπαιδιές (ποδόσφαιρο, μπάσκετ, κλπ). Οι αλλοιώσεις αυτές του έσω μηνίσκου επιτείνονται όταν τα γόνατα είτε εκ κατασκευής είτε λόγω ηλικίας (οστεοπόρωση) καθίστανται ραιβά.
Από τον άξονα του γόνατος εξαρτάται και η βλάβη και η θεραπεία της αλλοίωσης των μηνίσκων. Στα ραιβά γόνατα πάσχει ο έσω, στα βλαισά ο έξω.
Όταν συμβεί ρήξη του έσω μηνίσκου συνήθως συμμετέχει και βλάβη του έσω πλάγιου συνδέσμου και του προσθίου χιαστού (ατυχής τριάδα).
Άρα, υπάρχουν δύο είδη ρήξης-βλάβης των μηνίσκων. Η τραυματική ρήξη (σε αθλητές) και η εκφυλιστική ρήξη (σε μεσήλικες μη αθλητές).
Πώς εμφανίζεται
Η ρήξη του μηνίσκου εμφανίζεται στους αθλητές σαν πόνος οξύς συνδεδεμένος με αίσθημα «κρακ» κατά τη διάρκεια στροφικής κάκωσης σε άθλημα («τζαρτζάρισμα» στο ποδόσφαιρο).

Το γόνατο μετά την κάκωση προοδευτικά πρήζεται. Με την πάροδο του χρόνου το πρήξιμο υποχωρεί, παραμένει όμως πόνος στη βάδιση, αλλά κυρίως στη σκάλα και στο βαθύ κάθισμα.
Σε μεσήλικες ή υπερήλικες ο πόνος εμφανίζεται μετά από απλή στροφική κάκωση (προσπαθώ να βγω απ΄το αυτοκίνητο και βάζω βάρος σε στροφή του ποδιού). Ο πόνος αφορά το έσω διαμέρισμα του γόνατος και επιτείνεται με τη βάδιση και την έγερση από το κάθισμα.
Πώς ελέγχεται
Στους αθλητές, με γυμνά και τα δύο γόνατα, παρατηρούμε διογκωμένο το πάσχον γόνατο. Εάν πιέσουμε την επιγονατίδα, λόγω του υποκειμένου υγρού εμφανίζει «χορό».
Σε πρηνή θέση η έσω στροφή του γόνατος με γωνία 90⁰, είναι ανώδυνη, ενώ η έξω στροφή προκαλεί σημαντικό πόνο στο έσω διαμέρισμα. Εάν γίνει παρακέντηση βγαίνει υγρό αρθρικό ωχροκίτρινο, διαυγές και αραιό.
Στους ενήλικες-υπερήλικες ελέγχουμε πρώτα εάν τα γόνατα είναι ραιβά ή βλαισά. Ελέγχουμε επίσης εάν υπάρχει υγρό. Επίσης δημιουργείται πόνος του έσω διαμερίσματος στην έξω στροφή. Στα ραιβά γόνατα προκαλείται πόνος στην πίεση του έσω διαμερίσματος.

Στην παρακέντηση εξέρχεται πυκνό, ορώδες ωχροκίτρινο ή έντονα κίτρινο υγρό. Εάν το υγρό περιέχει «νεφέλια», μάλλον πρόκειται για οξεία ουρική αρθρίτιδα.
Πώς θεραπεύεται
Στους αθλητές που η διάγνωση επιβεβαιώνεται με Μαγνητική Τομογραφία, η θεραπεία είναι χειρουργική (αρθροσκόπηση και μερική μηνισκεκτομή ή συρραφή του μηνίσκου). Όταν η βλάβη είναι μερική, μπορεί κανείς να δοκιμάσει συντηρητική θεραπεία με κηδεμόνα προοδευτικής αλλαγής γωνίας, ασκήσεις τετρακεφάλου και έγχυση αυξητικών παραγόντων (G.F.) από PRP.

Στους μεσήλικες-υπερήλικες η ένδειξη αρθροσκοπικής μηνισκεκτομής είναι πολύ περιορισμένη. Πρέπει εκτός από την μαγνητική τομογραφία να ελεγχθεί και ο άξονας του γόνατος σε ακτινογραφία Face, σε όρθια στάση.
Εάν υπάρχει διαταραχή του άξονα (βλαισογονία ή ραιβογονία εμφανής) ή οστεόφυτα ή εάν στη μαγνητική παρατηρείται οίδημα του οστού ή στένωση του αρθρικού χόνδρου, η αρθροσκόπηση απαγορεύεται, γιατί θα οδηγήσει σε νέκρωση του γόνατος και θα χρειάζεται μεγαλύτερη χειρουργική προσπέλαση (αρθροπλαστική). Στις περιπτώσεις αυτές επιλέγουμε την συντηρητική θεραπεία με διόρθωση του άξονα του σκέλους (σφήνα στα παπούτσια), άσκηση του τετρακεφάλου μυός και με εγχύσεις υαλουρονικού οξέως, PRP, ακόμη και βλαστοκυττάρων.


Με τον τρόπο αυτό περιορίζουμε την πιθανότητα εμφάνισης οστεοαρθρίτιδος. Οδηγός μας στη θεραπεία είναι ο πόνος που αισθάνεται ο ασθενής.
Σε περιπτώσεις που ο ερρηγμένος μηνίσκος έχει αναδιπλωθεί και δεν επιτρέπει την κάμψη ή την έκταση του γόνατος, τότε η εγχείρηση (αρθροσκόπηση) για αφαίρεση του κομμένου μηνίσκου που έχει αναδιπλωθεί (δίκην χειρολαβής κάδου) είναι απαραίτητη.

Λέξεις κλειδιά:
– ρήξη μηνίσκου
– εκφύλιση μηνίσκου
