

Η πάθηση έχει την ονομασία «πολλαπλές εξοστώσεις» γιατί συνήθως προσβάλλουν τα μακρά οστά και των άνω και των κάτω άκρων.
Γράφει ο Ιωάννης Η. Βλάχος, ορθοπαιδικός-χειρουργός
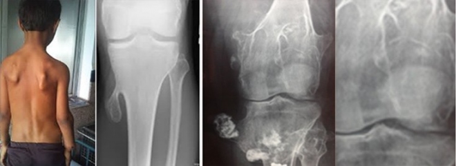
Οι εξοστώσεις των μακρών οστών ανευρίσκονται είτε τυχαία σε ακτινογραφία ρουτίνας ή είναι τόσο έκδηλα ψηλαφητές, ώστε ο ασθενής αναζητά εξήγηση για τον ψηλαφητό «όγκο» που νοιώθει στο γόνατό του.
Τι είναι
Οι εξοστώσεις των μακρών οστών είναι συνήθως καλοήθεις διογκώσεις στο άκρο των μακρών οστών (βραχιονίου-κνήμης-πλευρών) οφειλόμενες στην ετερότοπη εγκατάσταση οστικών κυττάρων στην περίοδο της ανάπτυξης, συγχρόνως με την ανάπτυξη του γενικού σκελετικού χόνδρου. Γι’ αυτό και γίνονται συνήθως αντιληπτές στην εφηβεία.
Πώς ελέγχεται
Στην ψηλάφηση στο ένα ή και στα δύο πόδια, ψηλαφείται συνήθως στην έσω πλευρά του γόνατος μία σκληρή διόγκωση, που υπεγείρει το δέρμα. Δεν είναι επώδυνη στην ψηλάφηση ή την πίεση.
Αναδεικνύεται ευκρινώς στην απλή ακτινογραφία.
Πώς αντιμετωπίζεται
Για αισθητικούς λόγους ή λόγω παρεμπόδισης της κάμψης του γόνατος, υπάρχει συχνά ανάγκη χειρουργικής αφαίρεσης.
Σε ορισμένες εξοστώσεις, που η κορυφή φαίνεται να αλλοιώνει το οστικό περίγραμμα, χρειάζεται έλεγχο με μαγνητική τομογραφία, γιατί σπανίως η εξόστωση μετατρέπεται σε όγκο, που χρειάζεται ευρεία χειρουργική αφαίρεση.

Λέξεις κλειδιά
Εξοστώσεις
Χονδροματώσεις
