
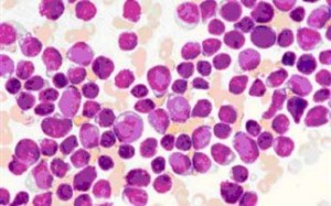
Ελπίδα για τα παιδιά που πάσχουν από νεανική μυελομονοκυτταρική λευχαιμία δίνει ένα νέο πειραματικό φάρμακο, που φαίνεται πως σταματά και εν μέρει αντιστρέφει την εξέλιξη της νόσου, δίνοντας στους ασθενείς την υπόσχεση, αν όχι θεραπείας, τουλάχιστον διατήρηση της ασθένειας σε ύφεση και διασφάλισης ενός καλύτερου τρόπου ζωής για μεγαλύτερο διάστημα.
Το φάρμακο δοκιμάστηκε σε πειραματόζωα γενετικά τροποποιημένα ώστε να πάσχουν από μυελομονοκυτταρική λευχαιμία, από ερευνητές του Παιδιατρικού Νοσοκομείου UCSF Benioff σε συνεργασία με τα εθνικά ινστιτούτα υγείας των ΗΠΑ.Σύμφωνα με τα αποτελέσματα, μια εβδομάδα μετά την έναρξη της θεραπείας τα συμπτώματα σε όλα σχεδόν τα πειραματόζωα είχαν αντιστραφεί. Τα ποντίκια παρήγαν περισσότερα ερυθρά αιμοσφαίρια και λιγότερα ανεπαρκώς αναπτυγμένα λευκοκύτταρα που είναι το βασικό χαρακτηριστικό της λευχαιμίας.
Το πιο εντυπωσιακό χαρακτηριστικό του φαρμάκου είναι ότι δεν απομακρύνει τα καρκινικά κύτταρα αλλά τα εξαναγκάζει να λειτουργήσουν σαν φυσιολογικά, παρά τη μετάλλαξη τους.
